Dünyada 18’nci, Türkiye’de ilk: 4 yaprakçıklı aort kapağına TAVİ operasyonu

SAĞLIK (İHA) - İhlas Haber Ajansı | 02.05.2025 - 15:52, Güncelleme: 02.05.2025 - 14:42 11174+ kez okundu.
 

Dünyada 18’nci, Türkiye’de ilk: 4 yaprakçıklı aort kapağına TAVİ operasyonu

Dünyada 18’nci, Türkiye’de ilk: 4 yaprakçıklı aort kapağına TAVİ operasyonu
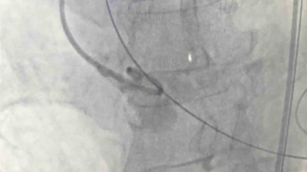
Samsun Eğitim ve Araştırma Hastanesi’nde 80 yaşındaki bir hastaya, nadir görülen dört yaprakçıklı aort kapağı nedeniyle transkateter aort kapak implantasyonu (TAVİ) yöntemiyle başarılı bir operasyon gerçekleştirildi. Operasyon, bu özelliği taşıyan vakalar arasında dünyada 18’inci, Türkiye’de ise ilk olma özelliği taşıyor. Amasya’nın Merzifon ilçesinde yaşayan Muzaffer Uslu (80), göğüs sıkışması ve baygınlık şikayetleriyle başvurduğu Merzifon Devlet Hastanesi’nden Samsun Eğitim ve Araştırma Hastanesi’ne sevk edildi. Tetkikler sonucu, normalde üç yaprakçıklı olması gereken aort kapağının dört yaprakçıklı olduğu belirlendi. Samsun Üniversitesi Tıp Fakültesi Kardiyoloji Ana Bilim Dalı Öğretim Üyesi Doç. Dr. Mustafa Yenerçağ, kapak değişiminin açık ameliyatla yüksek risk taşıması nedeniyle kapalı yöntem olan TAVİ işlemiyle çözüm sağladıklarını söyledi. "100 bin kişide 4 görülüyor" Doç. Dr. Yenerçağ, işlem öncesi yapılan tetkiklerde karşılaştıkları nadir bulgu hakkında ise "Hastanın TAVİ işleminden önce yapılan tetkiklerinde aort kapağının 3 yaprakçıklı olması beklenirken çok daha nadir görülen ‘Quadricuspid’ adı verilen 4 yaprakçıklı aort kapağı saptadık. Daha önce böyle bir vaka ile karşılaşmamıştık. Literatürleri, akademik çalışmaları inceledik. 4 yaprakçıklı aort kapağının toplumda 100 bin kişide 4 görüldüğünü, taradığımız uluslararası yayınlarda ise 4 yaprakçıklı aort kapağı bulunan sadece 17 hastaya TAVİ işlemi yapıldığını saptadık. Ülkemizden bildirilen vaka örneği bulamadık. Diğer ülkelerde yapılan vakaları detaylıca inceledik. İleri tomografik analizleri yaptık. Vakamıza detaylıca hazırlandık" dedi. 50 dakika içinde tamamlandı Operasyonu gerçekleştiren ekibi de paylaşan Yenerçağ, şunları söyledi: "Doç. Dr. Serkan Sivri, asistan doktorlarımız Berkan Öztürk ve Enes Kaya ile Anestezi Uzmanı Aynur Kaynar hocamızla beraber ekip halinde hastamıza başarılı TAVİ işlemini yaklaşık 50 dakika içerisinde tamamladık. Hastamızı 1 gün yoğun bakımda takip ettikten sonra servis takibine aldık. Nadir görülen bu 4 yaprakçıklı aort kapağına yaptığımız TAVİ işleminin prosedürel detaylarını literatüre kazandırmayı planlıyoruz. Bizden sonra bu nadir vaka ile karşılaşan meslektaşlarımıza yol göstermesi açısından referans olacaktır." Mustafa Uslu ise durumun iyi olduğunu söyledi.
Dünyada 18’nci, Türkiye’de ilk: 4 yaprakçıklı aort kapağına TAVİ operasyonu
Samsun Eğitim ve Araştırma Hastanesi’nde 80 yaşındaki bir hastaya, nadir görülen dört yaprakçıklı aort kapağı nedeniyle transkateter aort kapak implantasyonu (TAVİ) yöntemiyle başarılı bir operasyon gerçekleştirildi. Operasyon, bu özelliği taşıyan vakalar arasında dünyada 18’inci, Türkiye’de ise ilk olma özelliği taşıyor.
Amasya’nın Merzifon ilçesinde yaşayan Muzaffer Uslu (80), göğüs sıkışması ve baygınlık şikayetleriyle başvurduğu Merzifon Devlet Hastanesi’nden Samsun Eğitim ve Araştırma Hastanesi’ne sevk edildi. Tetkikler sonucu, normalde üç yaprakçıklı olması gereken aort kapağının dört yaprakçıklı olduğu belirlendi. Samsun Üniversitesi Tıp Fakültesi Kardiyoloji Ana Bilim Dalı Öğretim Üyesi Doç. Dr. Mustafa Yenerçağ, kapak değişiminin açık ameliyatla yüksek risk taşıması nedeniyle kapalı yöntem olan TAVİ işlemiyle çözüm sağladıklarını söyledi.

"100 bin kişide 4 görülüyor"
Doç. Dr. Yenerçağ, işlem öncesi yapılan tetkiklerde karşılaştıkları nadir bulgu hakkında ise "Hastanın TAVİ işleminden önce yapılan tetkiklerinde aort kapağının 3 yaprakçıklı olması beklenirken çok daha nadir görülen ‘Quadricuspid’ adı verilen 4 yaprakçıklı aort kapağı saptadık. Daha önce böyle bir vaka ile karşılaşmamıştık. Literatürleri, akademik çalışmaları inceledik. 4 yaprakçıklı aort kapağının toplumda 100 bin kişide 4 görüldüğünü, taradığımız uluslararası yayınlarda ise 4 yaprakçıklı aort kapağı bulunan sadece 17 hastaya TAVİ işlemi yapıldığını saptadık. Ülkemizden bildirilen vaka örneği bulamadık. Diğer ülkelerde yapılan vakaları detaylıca inceledik. İleri tomografik analizleri yaptık. Vakamıza detaylıca hazırlandık" dedi.

50 dakika içinde tamamlandı
Operasyonu gerçekleştiren ekibi de paylaşan Yenerçağ, şunları söyledi:
"Doç. Dr. Serkan Sivri, asistan doktorlarımız Berkan Öztürk ve Enes Kaya ile Anestezi Uzmanı Aynur Kaynar hocamızla beraber ekip halinde hastamıza başarılı TAVİ işlemini yaklaşık 50 dakika içerisinde tamamladık. Hastamızı 1 gün yoğun bakımda takip ettikten sonra servis takibine aldık. Nadir görülen bu 4 yaprakçıklı aort kapağına yaptığımız TAVİ işleminin prosedürel detaylarını literatüre kazandırmayı planlıyoruz. Bizden sonra bu nadir vaka ile karşılaşan meslektaşlarımıza yol göstermesi açısından referans olacaktır."
Mustafa Uslu ise durumun iyi olduğunu söyledi.

Samsun HABERİ

Habere ifade bırak !
Habere ait etiket tanımlanmamış.
Okuyucu Yorumları (0)

Yorumunuz başarıyla alındı, inceleme ardından en kısa sürede yayına alınacaktır.

Yorum yazarak Topluluk Kuralları’nı kabul etmiş bulunuyor ve yildizhaber.com.tr sitesine yaptığınız yorumunuzla ilgili doğrudan veya dolaylı tüm sorumluluğu tek başınıza üstleniyorsunuz. Yazılan tüm yorumlardan site yönetimi hiçbir şekilde sorumlu tutulamaz.
Sitemizden en iyi şekilde faydalanabilmeniz için çerezler kullanılmaktadır, sitemizi kullanarak çerezleri kabul etmiş saylırsınız.